Hola quería consultar alguna info o experiencia acerca de la relacion parasitos y enfermedades autoinmunes (mas especificamente polimiositis) tengo una amiga con este problema y por otros sintomas me da pensar que podria haber mejorias desparasitando. Pero me gustaria recomendarle en base a alguna evidencia porque es dificil convencer a alguien que lleva años con medicos y tratamientos tradicionales. Una vez mas, gracias!
Polimiositis
(Definición oficialista extraída de Wikipedia que busco para comparar con las parasitosis con las que hay coincidencias.)
En el texto ya se hace mención al los patógenos de Lyme a toxoplasmosis y a celiaquia, otra causada por parásitos. En ese grupo comparamos las enfermedades oficiales con las parasitosis y encontramos coincidencias.
La polimiositis (PM) es un tipo de miopatía inflamatoria crónica, como la dermatomiositis y la miositis por cuerpos de inclusión.
La polimiositis, como la dermatomiositis y otras enfermedades autoinmunes, son en general más frecuentes en mujeres que en hombres.
La causa es desconocida, aunque se cree que está relacionada con factores autoinmunes, genéticos y quizás algunos virus. En raros casos, la causa es atribuida a una infección, asociada con los patógenos que causan la enfermedad de Lyme, toxoplasmosis y otras. Se ha documentado la asociación con la enfermedad celíaca.
Se cree que ante una lesión o daño a nivel muscular, se desarrolla una liberación de antígenos musculares que conlleva a un desajuste en la respuesta inmune, debido a que los macrófagos toman esos autoantígenos y se los presentan a los linfocitos T CD4+. Estos últimos llevan a un aumento en la producción de IFN-y que estimula a más macrófagos, aumentando así la respuesta inflamatoria mediada por citoquinas (IL-1 y TNF-α). Además, existe un aumento en la expresión de las proteínas MHC en la superficie de los miocitos, lo que lleva a ser reconocidos como células extrañas por parte de los linfocitos T CD8 citotóxicos, llevan a su destrucción.
La polimiositis comúnmente aparece en el adulto, presentando debilidad muscular proximal bilateral, frecuentemente advertido por el paciente por la fatiga y cansancio exagerado al caminar. A veces la debilidad se presenta como la incapacidad de cambiar de posturas o de elevar los brazos sobre la cabeza. La debilidad es generalmente progresiva, acompañada por inflamación linfocítica (principalmente linfocitos T citotóxicos). Debilidad muscular proximal simétrica e insidiosa, en forma sub-aguda (en meses o semanas), presentando dificultad para iniciar actividades cotidianas (levantarse de una silla sin ayuda, tomarse las manos por arriba de la cabeza). Estos pacientes pueden tener disfagia. Las mialgias no son un síntoma habitual. Se asocian a conectivopatías (esclerodermia, Síndrome de Sjögren, etc.)
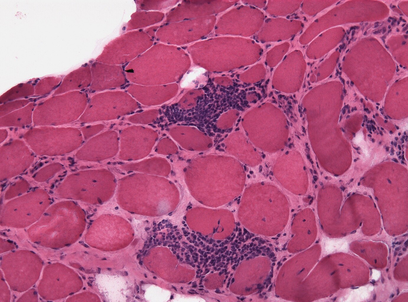
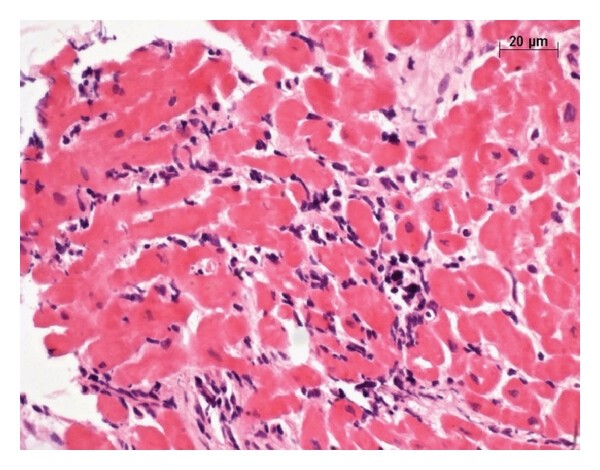
Se basa en un cuadro clínico característico (debilidad muscular simétrica, astenia, adinamia, etc.). Pueden presentarse aumento de enzimas musculares (CK muscular), alteraciones electromiográficas consistentes en ondas breves de bajo voltaje, y signos de infiltrados inflamatorios a predominio mononuclear parcheada en muestra de biopsia de músculo afectado clínicamente.
En los análisis clínicos más de un 65% de los pacientes tienen anticuerpos anti-Jo positivo. En el 50% de los casos hay anticuerpos ANA positivos
A diferencia de la dermatomiositis, en la poliomisitis no existe compromiso de la piel. La enfermedad pulmonar intersticial es otra de las manifestaciones que se aprecia en ambos cuadros inflamatorios. Debe realizarse la evaluación de los pulmones tras el diagnóstico de polimiositis, debido a que tiene una relación directa con la morbimortalidad de la enfermedad.
En general, el tratamiento consiste en altas dosis de esteroides. La fuerza muscular mejora dentro de los 4-6 semanas de tratamiento ( útil para diferenciarla de otros cuadros inflamatorios como la miositis por cuerpos de inclusión).
Aquellos pacientes sin respuesta al tratamiento con esteroides son sometidos a terapia inmunosupresora. También ha demostrado una mejoría en el tratamiento y en la calidad de vida de los pacientes la práctica de ejercicios musculares especializados.
Nada, solo hay que desparasitar.
Toxoplasma, leishmania tripanosoma, borrelia y muchos bichos más pueden estar en los músculos, hay que matarlos.
El plan de desaparición de este grupo ya los toma en cuenta.
No es que haya que buscar una relación entre enfermedades autoinmunes y las parasitosis, es al revés, se habla de enfermedades autoinmunes para negar las parasitosis.
Una parasitosis tiene tratamiento curativo, una enfermedad autoinmune no.
En definitiva es lisa y llanamente un engaño de la industria de la enfermedad.
Intentemos pensar como si creyéramos todo lo que ponen las premisas de Quita parasitos, así nuestro cerebro encontrará las respuestas. Sé que es demasiado simple para ser verdad, pero es necesario. Ya hemos visto cómo mejora la gente en este grupo, de problemas de años que no le han resuelto los médicos, y con sólo unos ciclos de desparasitación. Las otra opciones nos llevan a la resignación y a aceptar seguir los mismos consejos, y no curarnos.
Este es el mundo Quita parásitos.
Quitamos parásitos y por esas casualidades me curo de cosas que no había podido mejorar en años.
Eso, casualidad? 🤔🤷🏽♂️
No llego a tiempo para comparar todo, pero cada uno puede hacer si trabajo de la misma forma que lo hago yo. 🤔🙇✍️
http://microypara.facmed.unam.mx/?page_id=1573
https://es.m.wikipedia.org/wiki/Polimiositis



https://www.flickriver.com/groups/3229451@N22/pool/

https://onlinelibrary.wiley.com/doi/10.1155/2012/853562